Cytologie sanguine
Si vous avez un doute sur l’identité de la cellule, cliquer sur l’image pour avoir la réponse (photos à partir
Read MorePour les étudiants en apprentissage et intervenants de l'ESTBA
Si vous avez un doute sur l’identité de la cellule, cliquer sur l’image pour avoir la réponse (photos à partir
Read MoreSi vous avez un doute sur l’identité de la cellule, cliquer sur l’image pour avoir la réponse (photos à partir
Read MoreBienvenue sur le site Biotechnoweb dédié aux étudiants de BTS ABM en apprentissage, aux étudiants en LP bioanalyses et qualité dans les laboratoires de biologie médicale ainsi qu’aux intervenants de ces sections.
Appuyer sur le bouton suivant pour lire la suite.
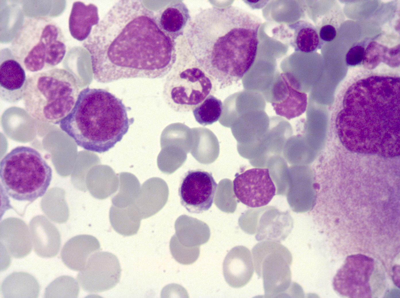
Si vous avez un doute sur l’identité de la cellule, cliquer sur l’image pour avoir la réponse (photos à partir
Read MoreSi vous avez un doute sur l’identité de la cellule, cliquer sur l’image pour avoir la réponse (photos à partir
Read More